Antibody data
- Antibody Data
- Antigen structure
- References [0]
- Comments [0]
- Validations
- Immunohistochemistry [2]
Submit
Validation data
Reference
Comment
Report error
- Product number
- ABIN5577452 - Provider product page 
- Provider
- antibodies-online
- Product name
- anti-V-Erb-B2 erythroblastic Leukemia Viral Oncogene Homolog 2, Neuro/glioblastoma Derived Oncogene Homolog (Avian) (ERBB2) antibody
- Antibody type
- Monoclonal
- Reactivity
- Human
- Host
- Mouse
- Isotype
- IgG
- Antibody clone number
- HRB2-451
- Vial size
- 100 μg
- Storage
- Store at 4°C.
				No comments: Submit comment	
	
			
							
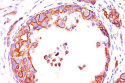
					Supportive validation
					
									
				
		- Submitted by
- antibodies-online (provider)
- Main image
 
- Experimental details
- IHC
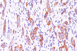
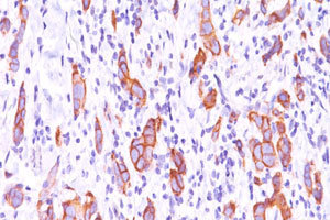
- Submitted by
- antibodies-online (provider)
- Main image
 
- Experimental details
- IHC