Antibody data
- Antibody Data
- Antigen structure
- References [20]
- Comments [0]
- Validations
- Immunohistochemistry [2]
Submit
Validation data
Reference
Comment
Report error
- Product number
- 10679-1-AP - Provider product page

- Provider
- Proteintech Group
- Proper citation
- Proteintech Cat#10679-1-AP, RRID:AB_2134244
- Product name
- KLK3/PSA antibody
- Antibody type
- Polyclonal
- Description
- KLK3/PSA antibody (Cat. #10679-1-AP) is a rabbit polyclonal antibody that shows reactivity with human and has been validated for the following applications: IHC, WB,ELISA.
- Reactivity
- Human
- Host
- Rabbit
- Conjugate
- Unconjugated
- Isotype
- IgG
- Vial size
- 20ul, 150ul
Submitted references Reciprocal regulation between RACGAP1 and AR contributes to endocrine therapy resistance in prostate cancer.
USP54 is a potential therapeutic target in castration-resistant prostate cancer.
Overexpression of RACGAP1 by E2F1 Promotes Neuroendocrine Differentiation of Prostate Cancer by Stabilizing EZH2 Expression.
Progesterone regulates the endoplasmic reticulum-associated degradation and Unfolded Protein Response axis by mimicking the androgenic stimulation in prostate cancer cells.
Quercetin in Tonglong Qibi decoction ameliorates testosterone-induced benign prostatic hyperplasia in rats by regulating Nrf2 signalling pathways and oxidative stress.
Correction: Expansion of mouse castration-resistant intermediate prostate stem cells in vitro.
Expansion of mouse castration-resistant intermediate prostate stem cells in vitro.
Prostate cancer cell proliferation is influenced by LDL-cholesterol availability and cholesteryl ester turnover.
α-Terthienyl induces prostate cancer cell death through inhibiting androgen receptor expression.
NCAPD3 promotes prostate cancer progression by up-regulating EZH2 and MALAT1 through STAT3 and E2F1.
RNF8 up-regulates AR/ARV7 action to contribute to advanced prostate cancer progression.
PRPF6 promotes androgen receptor/androgen receptor-variant 7 actions in castration-resistant prostate cancer cells.
ACSS3 represses prostate cancer progression through downregulating lipid droplet-associated protein PLIN3.
Melatonin inhibits lipid accumulation to repress prostate cancer progression by mediating the epigenetic modification of CES1.
KAT2A-mediated AR translocation into nucleus promotes abiraterone-resistance in castration-resistant prostate cancer.
A feedback loop between the androgen receptor and 6-phosphogluoconate dehydrogenase (6PGD) drives prostate cancer growth.
KLF5 Is Crucial for Androgen-AR Signaling to Transactivate Genes and Promote Cell Proliferation in Prostate Cancer Cells.
Identification of reciprocal microRNA-mRNA pairs associated with metastatic potential disparities in human prostate cancer cells and signaling pathway analysis.
Wnt5a induces and maintains prostate cancer cells dormancy in bone.
The Combination of Metformin and Valproic Acid Induces Synergistic Apoptosis in the Presence of p53 and Androgen Signaling in Prostate Cancer.
Wang J, Liu H, Yu Z, Zhou Q, Sun F, Han J, Gao L, Dou B, Zhang H, Fu J, Jia W, Chen W, Hu J, Han B
Cell communication and signaling : CCS 2024 Jun 19;22(1):339
Cell communication and signaling : CCS 2024 Jun 19;22(1):339
USP54 is a potential therapeutic target in castration-resistant prostate cancer.
Zhou C, Zhang X, Ma H, Zhou Y, Meng Y, Chen C, Shi G, Yu W, Zhang J
BMC urology 2024 Feb 6;24(1):32
BMC urology 2024 Feb 6;24(1):32
Overexpression of RACGAP1 by E2F1 Promotes Neuroendocrine Differentiation of Prostate Cancer by Stabilizing EZH2 Expression.
Song Z, Cao Q, Guo B, Zhao Y, Li X, Lou N, Zhu C, Luo G, Peng S, Li G, Chen K, Wang Y, Ruan H, Guo Y
Aging and disease 2023 Oct 1;14(5):1757-1774
Aging and disease 2023 Oct 1;14(5):1757-1774
Progesterone regulates the endoplasmic reticulum-associated degradation and Unfolded Protein Response axis by mimicking the androgenic stimulation in prostate cancer cells.
Erzurumlu Y, Dogan HK, Catakli D
Molecular biology reports 2023 Feb;50(2):1253-1265
Molecular biology reports 2023 Feb;50(2):1253-1265
Quercetin in Tonglong Qibi decoction ameliorates testosterone-induced benign prostatic hyperplasia in rats by regulating Nrf2 signalling pathways and oxidative stress.
Fu W, Chen S, Zhang Z, Chen Y, You X, Li Q
Andrologia 2022 Oct;54(9):e14502
Andrologia 2022 Oct;54(9):e14502
Correction: Expansion of mouse castration-resistant intermediate prostate stem cells in vitro.
Xu Y, Mu J, Zhou Z, Leng Y, Yu Y, Song X, Liu A, Zhu H, Li J, Wang D
Stem cell research & therapy 2022 Nov 25;13(1):522
Stem cell research & therapy 2022 Nov 25;13(1):522
Expansion of mouse castration-resistant intermediate prostate stem cells in vitro.
Xu Y, Mu J, Zhou Z, Leng Y, Yu Y, Song X, Liu A, Zhu H, Li J, Wang D
Stem cell research & therapy 2022 Jul 15;13(1):299
Stem cell research & therapy 2022 Jul 15;13(1):299
Prostate cancer cell proliferation is influenced by LDL-cholesterol availability and cholesteryl ester turnover.
Raftopulos NL, Washaya TC, Niederprüm A, Egert A, Hakeem-Sanni MF, Varney B, Aishah A, Georgieva ML, Olsson E, Dos Santos DZ, Nassar ZD, Cochran BJ, Nagarajan SR, Kakani MS, Hastings JF, Croucher DR, Rye KA, Butler LM, Grewal T, Hoy AJ
Cancer & metabolism 2022 Jan 15;10(1):1
Cancer & metabolism 2022 Jan 15;10(1):1
α-Terthienyl induces prostate cancer cell death through inhibiting androgen receptor expression.
Gan X, Huang H, Wen J, Liu K, Yang Y, Li X, Fang G, Liu Y, Wang X
Biomedicine & pharmacotherapy = Biomedecine & pharmacotherapie 2022 Aug;152:113266
Biomedicine & pharmacotherapy = Biomedecine & pharmacotherapie 2022 Aug;152:113266
NCAPD3 promotes prostate cancer progression by up-regulating EZH2 and MALAT1 through STAT3 and E2F1.
Jing Z, Liu Q, Xie W, Wei Y, Liu J, Zhang Y, Zuo W, Lu S, Zhu Q, Liu P
Cellular signalling 2022 Apr;92:110265
Cellular signalling 2022 Apr;92:110265
RNF8 up-regulates AR/ARV7 action to contribute to advanced prostate cancer progression.
Zhou T, Wang S, Song X, Liu W, Dong F, Huo Y, Zou R, Wang C, Zhang S, Liu W, Sun G, Lin L, Zeng K, Dong X, Guo Q, Yi F, Wang Z, Li X, Jiang B, Cao L, Zhao Y
Cell death & disease 2022 Apr 15;13(4):352
Cell death & disease 2022 Apr 15;13(4):352
PRPF6 promotes androgen receptor/androgen receptor-variant 7 actions in castration-resistant prostate cancer cells.
Liu W, Wang C, Wang S, Zeng K, Wei S, Sun N, Sun G, Wang M, Zou R, Liu W, Lin L, Song H, Jin Z, Zhao Y
International journal of biological sciences 2021;17(1):188-203
International journal of biological sciences 2021;17(1):188-203
ACSS3 represses prostate cancer progression through downregulating lipid droplet-associated protein PLIN3.
Zhou L, Song Z, Hu J, Liu L, Hou Y, Zhang X, Yang X, Chen K
Theranostics 2021;11(2):841-860
Theranostics 2021;11(2):841-860
Melatonin inhibits lipid accumulation to repress prostate cancer progression by mediating the epigenetic modification of CES1.
Zhou L, Zhang C, Yang X, Liu L, Hu J, Hou Y, Tao H, Sugimura H, Chen Z, Wang L, Chen K
Clinical and translational medicine 2021 Jun;11(6):e449
Clinical and translational medicine 2021 Jun;11(6):e449
KAT2A-mediated AR translocation into nucleus promotes abiraterone-resistance in castration-resistant prostate cancer.
Lu D, Song Y, Yu Y, Wang D, Liu B, Chen L, Li X, Li Y, Cheng L, Lv F, Zhang P, Xing Y
Cell death & disease 2021 Aug 12;12(8):787
Cell death & disease 2021 Aug 12;12(8):787
A feedback loop between the androgen receptor and 6-phosphogluoconate dehydrogenase (6PGD) drives prostate cancer growth.
Gillis JL, Hinneh JA, Ryan NK, Irani S, Moldovan M, Quek LE, Shrestha RK, Hanson AR, Xie J, Hoy AJ, Holst J, Centenera MM, Mills IG, Lynn DJ, Selth LA, Butler LM
eLife 2021 Aug 12;10
eLife 2021 Aug 12;10
KLF5 Is Crucial for Androgen-AR Signaling to Transactivate Genes and Promote Cell Proliferation in Prostate Cancer Cells.
Li J, Zhang B, Liu M, Fu X, Ci X, A J, Fu C, Dong G, Wu R, Zhang Z, Fu L, Dong JT
Cancers 2020 Mar 21;12(3)
Cancers 2020 Mar 21;12(3)
Identification of reciprocal microRNA-mRNA pairs associated with metastatic potential disparities in human prostate cancer cells and signaling pathway analysis.
Ma H, Wang LY, Yang RH, Zhou Y, Zhou P, Kong L
Journal of cellular biochemistry 2019 Oct;120(10):17779-17790
Journal of cellular biochemistry 2019 Oct;120(10):17779-17790
Wnt5a induces and maintains prostate cancer cells dormancy in bone.
Ren D, Dai Y, Yang Q, Zhang X, Guo W, Ye L, Huang S, Chen X, Lai Y, Du H, Lin C, Peng X, Song L
The Journal of experimental medicine 2019 Feb 4;216(2):428-449
The Journal of experimental medicine 2019 Feb 4;216(2):428-449
The Combination of Metformin and Valproic Acid Induces Synergistic Apoptosis in the Presence of p53 and Androgen Signaling in Prostate Cancer.
Tran LNK, Kichenadasse G, Butler LM, Centenera MM, Morel KL, Ormsby RJ, Michael MZ, Lower KM, Sykes PJ
Molecular cancer therapeutics 2017 Dec;16(12):2689-2700
Molecular cancer therapeutics 2017 Dec;16(12):2689-2700
No comments: Submit comment
Supportive validation
- Submitted by
- Proteintech Group (provider)
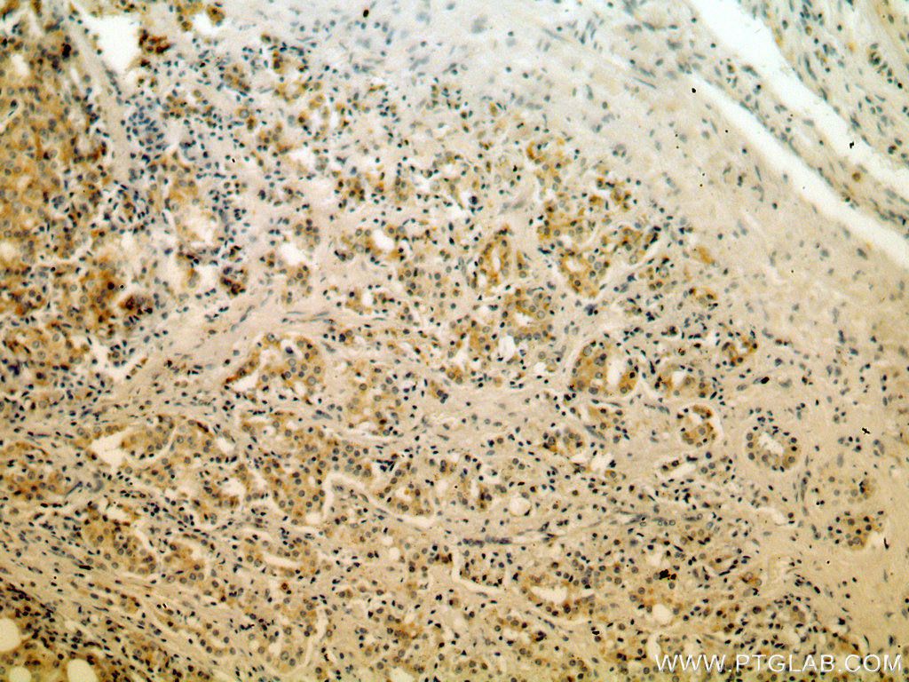
- Main image

- Experimental details
- Immunohistochemical of paraffin-embedded human prostate cancer using 10679-1-AP(KLK3,PSA antibody) at dilution of 1:50 (under 10x lens)
- Sample type
- tissue
- Submitted by
- Proteintech Group (provider)
- Main image

- Experimental details
- The KLK3/PSA antibody from Proteintech is a rabbit polyclonal antibody to a recombinant protein of human KLK3/PSA. This antibody recognizes human antigen. The KLK3/PSA antibody has been validated for the following applications: ELISA, IHC analysis.