Antibody data
- Antibody Data
- Antigen structure
- References [0]
- Comments [0]
- Validations
- Western blot [1]
- Immunocytochemistry [1]
- Immunohistochemistry [1]
- Flow cytometry [1]
Submit
Validation data
Reference
Comment
Report error
- Product number
- F50792 - Provider product page

- Provider
- NSJ Bioreagents
- Product name
- B-RAF Antibody
- Antibody type
- Polyclonal
- Description
- This highly specific B-RAF antibody is suitable for use in Flow cytometry/Immunohistochemistry/Immunofluorescence/Western blot/ELISA applications with human samples.
- Reactivity
- Human
- Host
- Rabbit
- Conjugate
- Unconjugated
- Vial size
- 0.08 ml, 0.4 ml
- Concentration
- In 1X PBS, pH 7.4, with 0.09% sodium azide
- Storage
- Store at 4oC for up to one month. For long term, aliquot the B-RAF antibody and store frozen at -20oC or colder. Avoid repeated freeze-thaw cycles.
No comments: Submit comment
Supportive validation
- Submitted by
- NSJ Bioreagents (provider)
- Main image

- Experimental details
- Western blot analysis of B-RAF antibody and 293 cell lysate (2 ug/lane) either nontransfected (Lane 1) or transiently transfected with the BRAF gene (2). Predicted size 85-95 kDa
Supportive validation
- Submitted by
- NSJ Bioreagents (provider)
- Main image

- Experimental details
- Fluorescent image of C2C12 cell stained with B-RAF antibody at 1:25. Immunoreactivity is localized to the cytoplasm.
Supportive validation
- Submitted by
- NSJ Bioreagents (provider)
- Main image

- Experimental details
- IHC analysis of FFPE human prostate carcinoma stained with B-RAF antibody
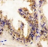
Supportive validation
- Submitted by
- NSJ Bioreagents (provider)
- Main image

- Experimental details
- B-RAF antibody flow cytometric analysis of HeLa cells (right histogram) compared to a negative control (left histogram). FITC-conjugated goat-anti-rabbit secondary Ab was used for the analysis.