Antibody data
- Antibody Data
- Antigen structure
- References [0]
- Comments [0]
- Validations
- Western blot [2]
- ELISA [1]
- Immunocytochemistry [1]
- Immunohistochemistry [1]
Submit
Validation data
Reference
Comment
Report error
- Product number
- MAB10697 - Provider product page

- Provider
- Abnova Corporation
- Proper citation
- Abnova Corporation Cat#MAB10697, RRID:AB_11188086
- Product name
- IL1B monoclonal antibody, clone 3A6
- Antibody type
- Monoclonal
- Description
- Mouse monoclonal antibody raised against partial recombinant IL1B.
- Isotype
- IgG
- Antibody clone number
- 3A6
- Storage
- Store at 4°C. For long term storage store at -20°C.Aliquot to avoid repeated freezing and thawing.
No comments: Submit comment
Supportive validation
- Submitted by
- Abnova Corporation (provider)
- Main image

- Experimental details
- Western blot analysis using IL1B monoclonal antibody, clone 3A6 (Cat # MAB10697) against HEK293 (1) and IL1B-hIgGFc transfected HEK293 (2) cell lysate.
- Submitted by
- Abnova Corporation (provider)
- Main image

- Experimental details
- Western blot analysis using IL1B monoclonal antibody, clone 3A6 (Cat # MAB10697) against human IL1B (aa 126-261) recombinant protein. (Expected MW is 41 kDa)
Supportive validation
- Submitted by
- Abnova Corporation (provider)
- Main image

- Experimental details
- ELISA measurement of IL1B monoclonal antibody, clone 3A6 (Cat # MAB10697) .
- Validation comment
- ELISA
Supportive validation
- Submitted by
- Abnova Corporation (provider)
- Main image

- Experimental details
- Immunofluorescence analysis of HepG2 cells using IL1B monoclonal antibody, clone 3A6 (Cat # MAB10697) (green) . Blue: DRAQ5 fluorescent DNA dye. Red: Actin filaments have been labeled with Alexa Fluor-555 phalloidin.
- Validation comment
- Immunofluorescence
Supportive validation
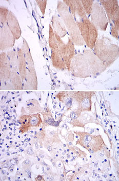
- Submitted by
- Abnova Corporation (provider)
- Main image

- Experimental details
- Immunohistochemical analysis of paraffin-embedded human muscle (upper) and human lung cancer (bottom) tissues using IL1B monoclonal antibody, clone 3A6 (Cat # MAB10697) with DAB staining.
- Validation comment
- Immunohistochemistry (Formalin/PFA-fixed paraffin-embedded sections)