Antibody data
- Antibody Data
- Antigen structure
- References [1]
- Comments [0]
- Validations
- Western blot [1]
- Immunohistochemistry [1]
Submit
Validation data
Reference
Comment
Report error
- Product number
- GTX30147 - Provider product page

- Provider
- GeneTex
- Proper citation
- GeneTex Cat#GTX30147, RRID:AB_369568
- Product name
- MMP2 antibody [8B4]
- Antibody type
- Monoclonal
- Reactivity
- Human, Mouse, Rat
- Host
- Mouse
Submitted references Differential structural remodeling of the left-atrial posterior wall in patients affected by mitral regurgitation with or without persistent atrial fibrillation: a morphological and molecular study.
Corradi D, Callegari S, Maestri R, Ferrara D, Mangieri D, Alinovi R, Mozzoni P, Pinelli S, Goldoni M, Privitera YA, Bartoli V, Astorri E, Macchi E, Vaglio A, Benussi S, Alfieri O
Journal of cardiovascular electrophysiology 2012 Mar;23(3):271-9
Journal of cardiovascular electrophysiology 2012 Mar;23(3):271-9
No comments: Submit comment
Supportive validation
- Submitted by
- GeneTex (provider)
- Main image

- Experimental details
- Western Blot: MMP2 Antibody (8B4) Western blot analysis of MMP2 expression in ProMMP2 (Lane 1), Active MMP2 (Lane 2) and human pressure ulcer biopsy (Lane 3).
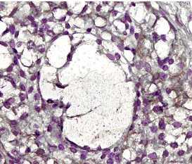
Supportive validation
- Submitted by
- GeneTex (provider)
- Main image

- Experimental details
- Detection of MMP-2 in formalin-fixed paraffin-embedded human ovary tissue using anti-MMP2 antibody (GTX30147).