Antibody data
- Antibody Data
- Antigen structure
- References [21]
- Comments [0]
- Validations
- Western blot [1]
- Immunohistochemistry [2]
Submit
Validation data
Reference
Comment
Report error
- Product number
- 20991-1-AP - Provider product page

- Provider
- Proteintech Group
- Proper citation
- Proteintech Cat#20991-1-AP, RRID:AB_11182703
- Product name
- CD11B/Integrin Alpha M antibody
- Antibody type
- Polyclonal
- Description
- CD11B/Integrin Alpha M antibody (Cat. #20991-1-AP) is a rabbit polyclonal antibody that shows reactivity with human and has been validated for the following applications: ELISA.
- Reactivity
- Human
- Host
- Rabbit
- Conjugate
- Unconjugated
- Isotype
- IgG
- Vial size
- 20ul, 150ul
Submitted references Chlorin e6-Induced Photodynamic Effect Polarizes the Macrophage Into an M1 Phenotype Through Oxidative DNA Damage and Activation of STING.
Spreading of Aggregated α-Synuclein in Sagittal Organotypic Mouse Brain Slices.
Spreading of P301S Aggregated Tau Investigated in Organotypic Mouse Brain Slice Cultures.
Novel roles of VAT1 expression in the immunosuppressive action of diffuse gliomas.
Synergy of nanodiamond-doxorubicin conjugates and PD-L1 blockade effectively turns tumor-associated macrophages against tumor cells.
Myeloid TBK1 Deficiency Induces Motor Deficits and Axon Degeneration Through Inflammatory Cell Infiltration.
Spreading of Beta-Amyloid in Organotypic Mouse Brain Slices and Microglial Elimination and Effects on Cholinergic Neurons.
Deubiquitinating Enzyme USP21 Inhibits HIV-1 Replication by Downregulating Tat Expression.
FGF9 knockout in GABAergic neurons induces apoptosis and inflammation via the Fas/caspase-3 pathway in the cerebellum of mice.
Doxorubicin-polyglycerol-nanodiamond conjugate is a cytostatic agent that evades chemoresistance and reverses cancer-induced immunosuppression in triple-negative breast cancer.
The pattern-recognition molecule mindin binds integrin Mac-1 to promote macrophage phagocytosis via Syk activation and NF-κB p65 translocation.
A GBM-like V-ATPase signature directs cell-cell tumor signaling and reprogramming via large oncosomes.
Piribedil disrupts the MLL1-WDR5 interaction and sensitizes MLL-rearranged acute myeloid leukemia (AML) to doxorubicin-induced apoptosis.
Systemic administration of scAAV9-IGF1 extends survival in SOD1(G93A) ALS mice via inhibiting p38 MAPK and the JNK-mediated apoptosis pathway.
IGF1 affects macrophage invasion and activation and TNF-α production in the sciatic nerves of female SOD1G93A mice.
Abberent expression of NOR1 protein in tumor associated macrophages contributes to the development of DEN-induced hepatocellular carcinoma.
scAAV9-VEGF-165 inhibits neuroinflammatory responses and invasion of macrophages into the peripheral nervous system of ALS transgenic mice.
Dietary eicosapentaenoic acid normalizes hippocampal omega-3 and 6 polyunsaturated fatty acid profile, attenuates glial activation and regulates BDNF function in a rodent model of neuroinflammation induced by central interleukin-1β administration.
Intrathecal Delivery of ssAAV9-DAO Extends Survival in SOD1(G93A) ALS Mice.
scAAV9-VEGF prolongs the survival of transgenic ALS mice by promoting activation of M2 microglia and the PI3K/Akt pathway.
Trans-cinnamaldehyde improves memory impairment by blocking microglial activation through the destabilization of iNOS mRNA in mice challenged with lipopolysaccharide.
Yu TT, Han N, Li LG, Peng XC, Li QR, Xu HZ, Wang XY, Yang ZY, Chen X, Wang MF, Li TF
Frontiers in pharmacology 2022;13:837784
Frontiers in pharmacology 2022;13:837784
Spreading of Aggregated α-Synuclein in Sagittal Organotypic Mouse Brain Slices.
Uçar B, Stefanova N, Humpel C
Biomolecules 2022 Jan 19;12(2)
Biomolecules 2022 Jan 19;12(2)
Spreading of P301S Aggregated Tau Investigated in Organotypic Mouse Brain Slice Cultures.
Korde DS, Humpel C
Biomolecules 2022 Aug 23;12(9)
Biomolecules 2022 Aug 23;12(9)
Novel roles of VAT1 expression in the immunosuppressive action of diffuse gliomas.
Yang P, Wang K, Zhang C, Wang Z, Liu Q, Wang J, Jiang T, Shan X
Cancer immunology, immunotherapy : CII 2021 Sep;70(9):2589-2600
Cancer immunology, immunotherapy : CII 2021 Sep;70(9):2589-2600
Synergy of nanodiamond-doxorubicin conjugates and PD-L1 blockade effectively turns tumor-associated macrophages against tumor cells.
Xu HZ, Li TF, Wang C, Ma Y, Liu Y, Zheng MY, Liu ZJ, Chen JB, Li K, Sun SK, Komatsu N, Xu YH, Zhao L, Chen X
Journal of nanobiotechnology 2021 Sep 6;19(1):268
Journal of nanobiotechnology 2021 Sep 6;19(1):268
Myeloid TBK1 Deficiency Induces Motor Deficits and Axon Degeneration Through Inflammatory Cell Infiltration.
Duan W, Yi L, Tian Y, Huang HP, Li Z, Bi Y, Guo M, Li Y, Liu Y, Ma Y, Song X, Liu Y, Li C
Molecular neurobiology 2021 May;58(5):2435-2446
Molecular neurobiology 2021 May;58(5):2435-2446
Spreading of Beta-Amyloid in Organotypic Mouse Brain Slices and Microglial Elimination and Effects on Cholinergic Neurons.
Moelgg K, Jummun F, Humpel C
Biomolecules 2021 Mar 15;11(3)
Biomolecules 2021 Mar 15;11(3)
Deubiquitinating Enzyme USP21 Inhibits HIV-1 Replication by Downregulating Tat Expression.
Gao W, Li G, Zhao S, Wang H, Huan C, Zheng B, Jiang C, Zhang W
Journal of virology 2021 Jun 10;95(13):e0046021
Journal of virology 2021 Jun 10;95(13):e0046021
FGF9 knockout in GABAergic neurons induces apoptosis and inflammation via the Fas/caspase-3 pathway in the cerebellum of mice.
Guo M, Chen H, Duan W, Li Z, Li Y, Ma Y, Xu X, Yi L, Bi Y, Liu Y, Zhang J, Li C
Brain research bulletin 2020 Jan;154:91-101
Brain research bulletin 2020 Jan;154:91-101
Doxorubicin-polyglycerol-nanodiamond conjugate is a cytostatic agent that evades chemoresistance and reverses cancer-induced immunosuppression in triple-negative breast cancer.
Yuan SJ, Xu YH, Wang C, An HC, Xu HZ, Li K, Komatsu N, Zhao L, Chen X
Journal of nanobiotechnology 2019 Oct 17;17(1):110
Journal of nanobiotechnology 2019 Oct 17;17(1):110
The pattern-recognition molecule mindin binds integrin Mac-1 to promote macrophage phagocytosis via Syk activation and NF-κB p65 translocation.
Liu YS, Wang LF, Cheng XS, Huo YN, Ouyang XM, Liang LY, Lin Y, Wu JF, Ren JL, Guleng B
Journal of cellular and molecular medicine 2019 May;23(5):3402-3416
Journal of cellular and molecular medicine 2019 May;23(5):3402-3416
A GBM-like V-ATPase signature directs cell-cell tumor signaling and reprogramming via large oncosomes.
Bertolini I, Terrasi A, Martelli C, Gaudioso G, Di Cristofori A, Storaci AM, Formica M, Braidotti P, Todoerti K, Ferrero S, Caroli M, Ottobrini L, Vaccari T, Vaira V
EBioMedicine 2019 Mar;41:225-235
EBioMedicine 2019 Mar;41:225-235
Piribedil disrupts the MLL1-WDR5 interaction and sensitizes MLL-rearranged acute myeloid leukemia (AML) to doxorubicin-induced apoptosis.
Zhang X, Zheng X, Yang H, Yan J, Fu X, Wei R, Xu X, Zhang Z, Yu A, Zhou K, Ding J, Geng M, Huang X
Cancer letters 2018 Sep 1;431:150-160
Cancer letters 2018 Sep 1;431:150-160
Systemic administration of scAAV9-IGF1 extends survival in SOD1(G93A) ALS mice via inhibiting p38 MAPK and the JNK-mediated apoptosis pathway.
Wang W, Wen D, Duan W, Yin J, Cui C, Wang Y, Li Z, Liu Y, Li C
Brain research bulletin 2018 May;139:203-210
Brain research bulletin 2018 May;139:203-210
IGF1 affects macrophage invasion and activation and TNF-α production in the sciatic nerves of female SOD1G93A mice.
Ji Y, Duan W, Liu Y, Liu Y, Liu C, Li Y, Wen D, Li Z, Li C
Neuroscience letters 2018 Mar 6;668:1-6
Neuroscience letters 2018 Mar 6;668:1-6
Abberent expression of NOR1 protein in tumor associated macrophages contributes to the development of DEN-induced hepatocellular carcinoma.
Chen S, Zheng P, Wang W, Yi M, Chen P, Cai J, Li J, Peng Q, Ban Y, Zhou Y, Zeng Z, Li X, Xiong W, Li G, Xiang B
Journal of cellular physiology 2018 Jun;233(6):5002-5013
Journal of cellular physiology 2018 Jun;233(6):5002-5013
scAAV9-VEGF-165 inhibits neuroinflammatory responses and invasion of macrophages into the peripheral nervous system of ALS transgenic mice.
Wang Y, Liu Y, Zhai J, Duan W, Sun S, Cui H, Chen X, Ji J, Liu Y
Brain research bulletin 2018 Jun;140:233-242
Brain research bulletin 2018 Jun;140:233-242
Dietary eicosapentaenoic acid normalizes hippocampal omega-3 and 6 polyunsaturated fatty acid profile, attenuates glial activation and regulates BDNF function in a rodent model of neuroinflammation induced by central interleukin-1β administration.
Dong Y, Xu M, Kalueff AV, Song C
European journal of nutrition 2018 Aug;57(5):1781-1791
European journal of nutrition 2018 Aug;57(5):1781-1791
Intrathecal Delivery of ssAAV9-DAO Extends Survival in SOD1(G93A) ALS Mice.
Wang W, Duan W, Wang Y, Wen D, Liu Y, Li Z, Hu H, Cui H, Cui C, Lin H, Li C
Neurochemical research 2017 Apr;42(4):986-996
Neurochemical research 2017 Apr;42(4):986-996
scAAV9-VEGF prolongs the survival of transgenic ALS mice by promoting activation of M2 microglia and the PI3K/Akt pathway.
Wang Y, Duan W, Wang W, Di Wen, Liu Y, Liu Y, Li Z, Hu H, Lin H, Cui C, Li D, Dong H, Li C
Brain research 2016 Oct 1;1648(Pt A):1-10
Brain research 2016 Oct 1;1648(Pt A):1-10
Trans-cinnamaldehyde improves memory impairment by blocking microglial activation through the destabilization of iNOS mRNA in mice challenged with lipopolysaccharide.
Zhang L, Zhang Z, Fu Y, Yang P, Qin Z, Chen Y, Xu Y
Neuropharmacology 2016 Nov;110(Pt A):503-518
Neuropharmacology 2016 Nov;110(Pt A):503-518
No comments: Submit comment
Supportive validation
- Submitted by
- Proteintech Group (provider)
- Main image

- Experimental details
- HL-60 cells were subjected to SDS PAGE followed by western blot with 20991-1-AP(CD11B antibody) at dilution of 1:500
- Sample type
- cell line
Supportive validation
- Submitted by
- Proteintech Group (provider)
- Main image

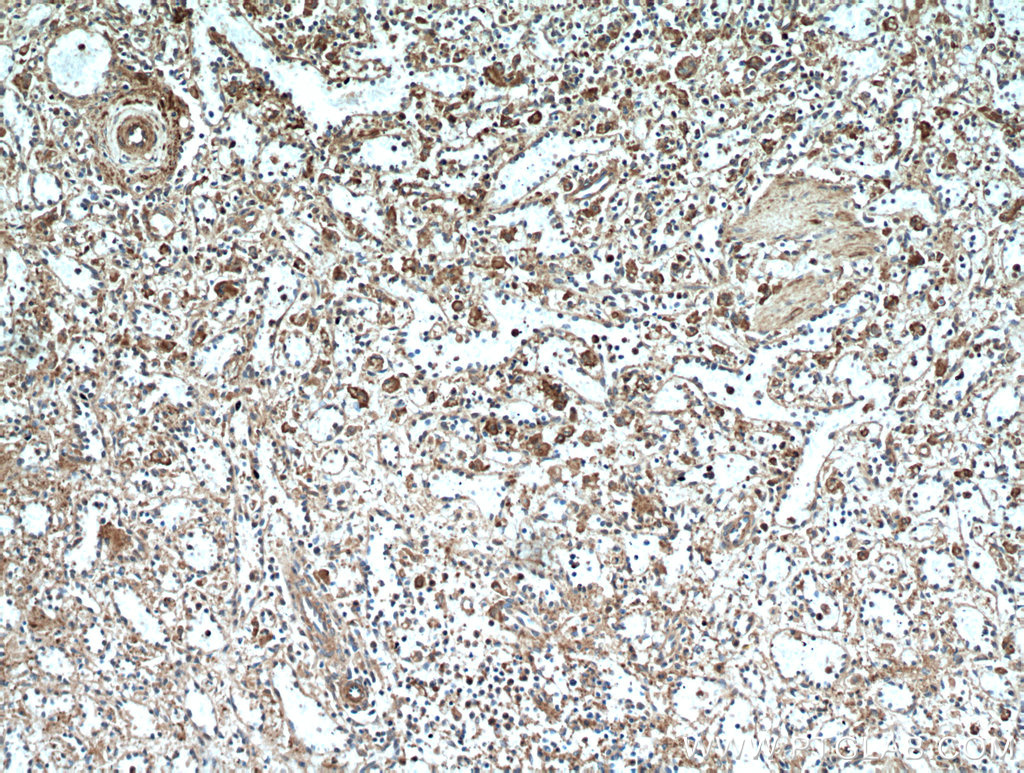
- Experimental details
- Immunohistochemical of paraffin-embedded human spleen using 20991-1-AP(CD11B antibody) at dilution of 1:50 (under 10x lens)
- Sample type
- tissue
- Submitted by
- Proteintech Group (provider)
- Main image

- Experimental details
- The CD11B/Integrin alpha M antibody from Proteintech is a rabbit polyclonal antibody to a peptide of human CD11B/Integrin alpha M. This antibody recognizes human, mouse antigen. The CD11B/Integrin alpha M antibody has been validated for the following applications: ELISA, WB, IHC analysis.