AM06608SU-N
antibody from Acris Antibodies GmbH
		Targeting: HIF1A
		
		bHLHe78, HIF-1alpha, HIF1, MOP1, PASD8	
	
	
	
	
Antibody data
- Antibody Data
- Antigen structure
- References [0]
- Comments [0]
- Validations
- Western blot [1]
- ELISA [1]
- Immunocytochemistry [1]
- Immunohistochemistry [2]
Submit
Validation data
Reference
Comment
Report error
- Product number
- AM06608SU-N - Provider product page 
- Provider
- Acris Antibodies GmbH
- Proper citation
- Acris Antibodies GmbH Cat#AM06608SU-N, RRID:AB_11215367
- Product name
- anti HIF1A / HIF1 alpha
- Antibody type
- Monoclonal
- Antigen
- Purified recombinant fragment of Human HIF1A expressed in E. Coli.
- Reactivity
- Human, Mouse, Simian
- Host
- Mouse
- Isotype
- IgG
- Antibody clone number
- 1A3
- Vial size
- 0.1 ml
				No comments: Submit comment	
	
			
							
					Supportive validation
					
									
				
				- Submitted by
- Acris Antibodies GmbH (provider)
- Main image
 
- Experimental details
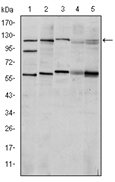
- Western blot analysis using HIF1A antibody Cat.-No AM06608SU-N against Cos7 (Lane 1), Hela (Lane 2), Jurkat (Lane 3), RAJI (Lane 4) and NIH/3T3 (Lane 5) cell lysate.
							
					Supportive validation
					
									
				
				- Submitted by
- Acris Antibodies GmbH (provider)
- Main image
 
							
					Supportive validation
					
									
				
				- Submitted by
- Acris Antibodies GmbH (provider)
- Main image
 
- Experimental details
- Immunofluorescence analysis of Hela cells using HIF1A antibody Cat.-No AM06608SU-N (green). Blue: DRAQ5 fluorescent DNA dye. Red: Actin filaments have been labeled with Alexa Fluor-555 phalloidin.
							
					Supportive validation
					
									
				
		- Submitted by
- Acris Antibodies GmbH (provider)
- Main image
 
- Experimental details
- Immunohistochemical analysis of paraffin-embedded stomach cancer tissues (left) and brain tumor tissues (right) using HIF1A antibody Cat.-No AM06608SU-N with DAB staining.
- Submitted by
- Acris Antibodies GmbH (provider)
- Main image
 
- Experimental details
- Immunohistochemical analysis of paraffin-embedded liver cancer tissues (left) and lung cancer tissues (right) using HIF1A antibody Cat.-No AM06608SU-N with DAB staining.