Antibody data
- Antibody Data
- Antigen structure
- References [0]
- Comments [0]
- Validations
- Western blot [1]
- Immunohistochemistry [2]
Submit
Validation data
Reference
Comment
Report error
- Product number
- ARG55177 - Provider product page

- Provider
- Arigo
- Product name
- anti-Caspase-12 antibody
- Antibody type
- Polyclonal
- Antigen
- Synthetic peptide around 16 aa within the large cleavage product of Mouse Caspase-12 (Swiss: O08736).
- Description
- Affinity purification with immunogen.
- Reactivity
- Human, Mouse, Rat
- Host
- Rabbit
- Isotype
- IgG
- Vial size
- 50 µg
- Concentration
- 1 mg/ml
- Storage
- For continuous use, store undiluted antibody at 2-8°C for up to 1-2 weeks. For long-term storage, aliquot and store at -20°C. Storage in frost free freezers is not recommended. Avoid repeated freeze/thaw cycles. The antibody solution should be gently mixed before use.
- Handling
- The antibody solution should be gently mixed before use.
No comments: Submit comment
Supportive validation
- Submitted by
- Arigo (provider)
- Main image

- Experimental details
- Western blot: human heart lysate stained with ARG55177 anti-Caspase-12 antibody at (A) 0.5, (B) 1, and (C) 2 ug/ml dilution.
Supportive validation
- Submitted by
- Arigo (provider)
- Main image

- Experimental details
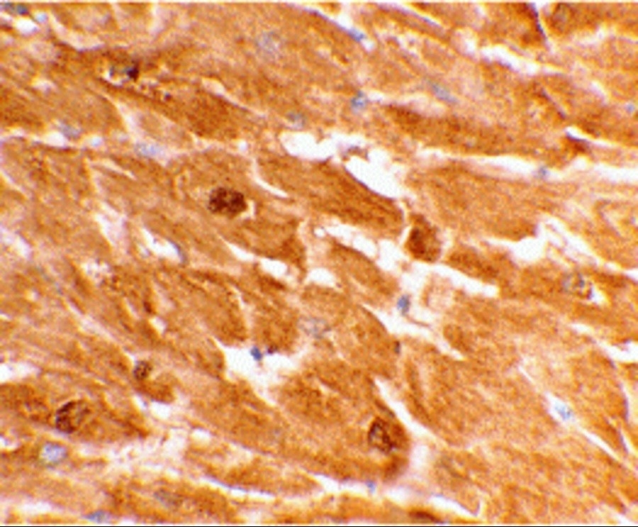
- Immunohistochemistry: human heart tissue stained with ARG55177 anti-Caspase-12 antibody at 2 ug/ml dilution.
- Submitted by
- Arigo (provider)
- Main image

- Experimental details
- Immunohistochemistry: Caspase-12 in Human Heart tissue stained with ARG55177 anti-Caspase-12 antibody at 10 ug/ml dilution.