Antibody data
- Antibody Data
- Antigen structure
- References [0]
- Comments [0]
- Validations
- Immunoprecipitation [1]
- Immunohistochemistry [6]
- Other assay [1]
Submit
Validation data
Reference
Comment
Report error
- Product number
- PA5-80916 - Provider product page

- Provider
- Invitrogen Antibodies
- Product name
- RBP4 Polyclonal Antibody
- Antibody type
- Polyclonal
- Antigen
- Recombinant full-length protein
- Description
- This product is preservative free. It is recommended to add sodium azide to avoid contamination (final concentration 0.05%-0.1%). This antibody has specificity for Human RBP4/PRBP.
- Reactivity
- Human
- Host
- Rabbit
- Isotype
- IgG
- Vial size
- 100 μL
- Concentration
- 1 mg/mL
- Storage
- Store at 4°C short term. For long term storage, store at -20°C, avoiding freeze/thaw cycles.
No comments: Submit comment
Supportive validation
- Submitted by
- Invitrogen Antibodies (provider)
- Main image

- Experimental details
- RBP4 Immunoprecipitation using: Lane A: 0.5 mg HepG2 Whole Cell Lysate 2 µL with RBP4 Polyclonal Antibody (Product # PA5-80916) and 15 µL of 50 % Protein G agarose. Primary antibody: RBP4 Polyclonal Antibody, at 1:50 dilution. Secondary antibody: Dylight 800-labeled antibody to rabbit IgG (H+L), at 1:5,000 dilution. Developed using the Odyssey technique. Performed under reducing conditions. Predicted band size: 21 kDa. Observed band size: 21 kDa.
Supportive validation
- Submitted by
- Invitrogen Antibodies (provider)
- Main image

- Experimental details
- Immunohistochemical staining of human RBP4 in human kidney with RBP4 Polyclonal Antibody (Product # PA5-80916, 1:500, formalin-fixed paraffin embedded sections). Positive staining was localized to proximal tubule.
- Submitted by
- Invitrogen Antibodies (provider)
- Main image

- Experimental details
- Immunohistochemical staining of human RBP4 in human liver with RBP4 Polyclonal Antibody (Product # PA5-80916, 1:500, formalin-fixed paraffin embedded sections). Positive staining was localized to hepatocyte.
- Submitted by
- Invitrogen Antibodies (provider)
- Main image

- Experimental details
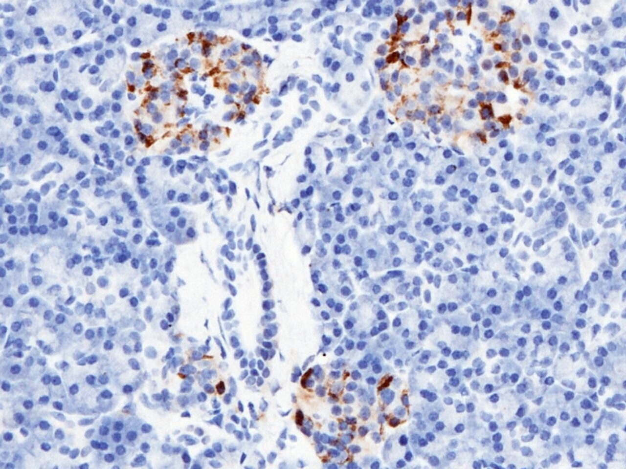
- Immunohistochemical staining of human RBP4 in human pancreas with RBP4 Polyclonal Antibody (Product # PA5-80916, 1:500, formalin-fixed paraffin embedded sections).
- Submitted by
- Invitrogen Antibodies (provider)
- Main image

- Experimental details
- Immunohistochemical staining of human RBP4 in human kidney with RBP4 Polyclonal Antibody (Product # PA5-80916, 1:500, formalin-fixed paraffin embedded sections). Positive staining was localized to proximal tubule.
- Submitted by
- Invitrogen Antibodies (provider)
- Main image

- Experimental details
- Immunohistochemical staining of human RBP4 in human liver with RBP4 Polyclonal Antibody (Product # PA5-80916, 1:500, formalin-fixed paraffin embedded sections). Positive staining was localized to hepatocyte.
- Submitted by
- Invitrogen Antibodies (provider)
- Main image

- Experimental details
- Immunohistochemical staining of human RBP4 in human pancreas with RBP4 Polyclonal Antibody (Product # PA5-80916, 1:500, formalin-fixed paraffin embedded sections).
Supportive validation
- Submitted by
- Invitrogen Antibodies (provider)
- Main image

- Experimental details
- RBP4 Immunoprecipitation using: Lane A: 0.5 mg HepG2 Whole Cell Lysate 2 µL with RBP4 Polyclonal Antibody (Product # PA5-80916) and 15 µL of 50 % Protein G agarose. Primary antibody: RBP4 Polyclonal Antibody, at 1:50 dilution. Secondary antibody: Dylight 800-labeled antibody to rabbit IgG (H+L), at 1:5,000 dilution. Developed using the Odyssey technique. Performed under reducing conditions. Predicted band size: 21 kDa. Observed band size: 21 kDa.