Antibody data
- Antibody Data
- Antigen structure
- References [0]
- Comments [0]
- Validations
- Immunohistochemistry [4]
Submit
Validation data
Reference
Comment
Report error
- Product number
- NBP1-89979 - Provider product page 
- Provider
- Novus Biologicals
- Proper citation
- Novus Cat#NBP1-89979, RRID:AB_11030270
- Product name
- Rabbit Polyclonal Mad Antibody
- Antibody type
- Polyclonal
- Description
- Immunogen affinity purified. Specificity of human Mad antibody verified on a Protein Array containing target protein plus 383 other non-specific proteins.
- Reactivity
- Human
- Host
- Rabbit
- Isotype
- IgG
- Vial size
- 0.1 ml
- Storage
- Store at 4C short term. Aliquot and store at -20C long term. Avoid freeze-thaw cycles.
				No comments: Submit comment	
	
			
							
					Supportive validation
					
									
				
		- Submitted by
- Novus Biologicals (provider)
- Main image
 
- Experimental details
- Immunohistochemistry-Paraffin: Mad Antibody [NBP1-89979] - Staining of human testis shows strong nuclear positivity in cells in seminiferus ducts.
- Submitted by
- Novus Biologicals (provider)
- Main image
 
- Experimental details
- Immunohistochemistry-Paraffin: Mad Antibody [NBP1-89979] - Staining of human bone marrow shows high expression.
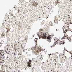
- Submitted by
- Novus Biologicals (provider)
- Main image
 
- Experimental details
- Immunohistochemistry-Paraffin: Mad Antibody [NBP1-89979] - Staining of human liver shows low expression as expected.
- Submitted by
- Novus Biologicals (provider)
- Main image
 
- Experimental details
- Immunohistochemistry-Paraffin: Mad Antibody [NBP1-89979] - Staining in human bone marrow and liver tissues using anti-MXD1 antibody. Corresponding MXD1 RNA-seq data are presented for the same tissues.