Antibody data
- Antibody Data
- Antigen structure
- References [0]
- Comments [0]
- Validations
- Immunohistochemistry [1]
Submit
Validation data
Reference
Comment
Report error
- Product number
- 600-401-I08 - Provider product page

- Provider
- Rockland Immunochemicals, Inc.
- Proper citation
- Rockland Cat#600-401-I08, RRID:AB_2614312
- Product name
- Anti-Receptor-interacting serine-threonine kinase 3 (RABBIT) Antibody - 600-401-I08
- Antibody type
- Polyclonal
- Vial size
- 100 µl
No comments: Submit comment
Supportive validation
- Submitted by
- Rockland Immunochemicals, Inc. (provider)
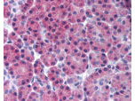
- Main image

- Experimental details
- Immunohistochemistry of Rabbit Anti-Receptor-interacting serine-threonine kinase 3 antibody. Tissue: human pancreas. Fixation: formalin fixed paraffin embedded. Antigen retrieval: not required. Primary antibody: RIP3 antibody at 10 µg/mL for 1 h at RT. Secondary antibody: Peroxidase rabbit secondary antibody at 1:10,000 for 45 min at RT. Staining: RIP3 as a precipitated red signal with hematoxylin purple nuclear counterstain.
- Validation comment
- Immunohistochemistry