Antibody data
- Antibody Data
- Antigen structure
- References [3]
- Comments [0]
- Validations
- Western blot [2]
- Immunohistochemistry [9]
Submit
Validation data
Reference
Comment
Report error
- Product number
- NBP1-84978 - Provider product page

- Provider
- Novus Biologicals
- Proper citation
- Novus Cat#NBP1-84978, RRID:AB_11022263
- Product name
- Rabbit Polyclonal FHL2 Antibody
- Antibody type
- Polyclonal
- Description
- Immunogen affinity purified. Specificity of human, mouse, rat FHL2 antibody verified on a Protein Array containing target protein plus 383 other non-specific proteins.
- Reactivity
- Human, Mouse, Rat
- Host
- Rabbit
- Isotype
- IgG
- Vial size
- 0.1 ml
- Storage
- Store at 4C short term. Aliquot and store at -20C long term. Avoid freeze-thaw cycles.
Submitted references Immunofluorescence and fluorescent-protein tagging show high correlation for protein localization in mammalian cells.
Systematic validation of antibody binding and protein subcellular localization using siRNA and confocal microscopy.
A global view of protein expression in human cells, tissues, and organs.
Stadler C, Rexhepaj E, Singan VR, Murphy RF, Pepperkok R, Uhlén M, Simpson JC, Lundberg E
Nature methods 2013 Apr;10(4):315-23
Nature methods 2013 Apr;10(4):315-23
Systematic validation of antibody binding and protein subcellular localization using siRNA and confocal microscopy.
Stadler C, Hjelmare M, Neumann B, Jonasson K, Pepperkok R, Uhlén M, Lundberg E
Journal of proteomics 2012 Apr 3;75(7):2236-51
Journal of proteomics 2012 Apr 3;75(7):2236-51
A global view of protein expression in human cells, tissues, and organs.
Pontén F, Gry M, Fagerberg L, Lundberg E, Asplund A, Berglund L, Oksvold P, Björling E, Hober S, Kampf C, Navani S, Nilsson P, Ottosson J, Persson A, Wernérus H, Wester K, Uhlén M
Molecular systems biology 2009;5:337
Molecular systems biology 2009;5:337
No comments: Submit comment
Supportive validation
- Submitted by
- Novus Biologicals (provider)
- Main image

- Experimental details
- Western Blot: FHL2 Antibody [NBP1-84978] - Analysis in mouse cell line NIH-3T3 and rat cell line NBT-II.
- Submitted by
- Novus Biologicals (provider)
- Main image

- Experimental details
- Western Blot: FHL2 Antibody [NBP1-84978] - Analysis in human cell line U-2 OS.
Supportive validation
- Submitted by
- Novus Biologicals (provider)
- Main image

- Experimental details
- Immunohistochemistry-Paraffin: FHL2 Antibody [NBP1-84978] - Staining of human cerebral cortex shows low expression as expected.
- Submitted by
- Novus Biologicals (provider)
- Main image

- Experimental details
- Immunohistochemistry-Paraffin: FHL2 Antibody [NBP1-84978] - Staining of human heart muscle shows high expression.
- Submitted by
- Novus Biologicals (provider)
- Main image

- Experimental details
- Immunohistochemistry-Paraffin: FHL2 Antibody [NBP1-84978] - Staining of human colon.
- Submitted by
- Novus Biologicals (provider)
- Main image

- Experimental details
- Immunohistochemistry-Paraffin: FHL2 Antibody [NBP1-84978] - Staining of human kidney.
- Submitted by
- Novus Biologicals (provider)
- Main image

- Experimental details
- Immunohistochemistry-Paraffin: FHL2 Antibody [NBP1-84978] - Analysis in human heart muscle and liver tissues. Corresponding FHL2 RNA-seq data are presented for the same tissues.
- Submitted by
- Novus Biologicals (provider)
- Main image

- Experimental details
- Immunohistochemistry-Paraffin: FHL2 Antibody [NBP1-84978] - Staining of human cerebellum shows low positivity as expected.
- Submitted by
- Novus Biologicals (provider)
- Main image

- Experimental details
- Immunohistochemistry-Paraffin: FHL2 Antibody [NBP1-84978] - Staining of human cerebellum, heart muscle, liver and skeletal muscle using Anti-FHL2 antibody NBP1-84978 (A) shows similar protein distribution across tissues to independent antibody NBP1-84979 (B).
- Submitted by
- Novus Biologicals (provider)
- Main image

- Experimental details
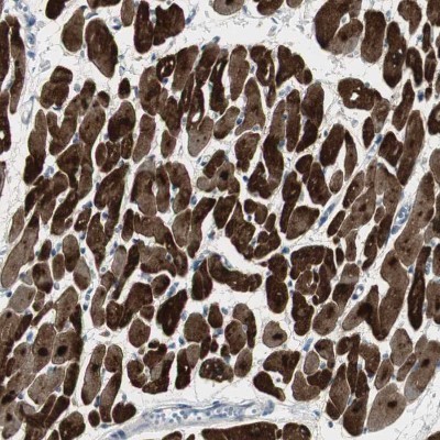
- Immunohistochemistry-Paraffin: FHL2 Antibody [NBP1-84978] - Staining of human heart muscle shows strong cytoplasmic and nuclear positivity in cardiomyocytes.
- Submitted by
- Novus Biologicals (provider)
- Main image

- Experimental details
- Immunohistochemistry-Paraffin: FHL2 Antibody [NBP1-84978] - Staining of human liver shows low positivity in hepatocytes as expected.