Antibody data
- Antibody Data
- Antigen structure
- References [1]
- Comments [0]
- Validations
- Immunocytochemistry [1]
- Immunohistochemistry [1]
Submit
Validation data
Reference
Comment
Report error
- Product number
- 101-M144 - Provider product page

- Provider
- ReliaTech GmbH
- Product name
- Megalin
- Antibody type
- Monoclonal
- Antigen
- purified human Megalin
- Description
- antibody purified from hybridoma supernatant
- Reactivity
- Mouse, Rat
- Host
- Mouse
- Isotype
- IgG
- Antibody clone number
- (#CD7D5)
- Vial size
- 100 µl
- Storage
- Store lyophilized at 2-8°C for 6 months or at -20°C long term. After reconstitution store the antibody undiluted at 2-8°C for one month or (in aliquots) at -20°C long term. Avoid repeated freezing and thawing.
- Handling
- Restore in sterile water to a concentration of 0.1-1.0 mg/ml. The antibody solution should be gently mixed before use.
Submitted references NFAT5 up-regulates expression of the kidney-specific ubiquitin ligase gene Rnf183 under hypertonic conditions in inner-medullary collecting duct cells.
Maeoka Y, Wu Y, Okamoto T, Kanemoto S, Guo XP, Saito A, Asada R, Matsuhisa K, Masaki T, Imaizumi K, Kaneko M
The Journal of biological chemistry 2019 Jan 4;294(1):101-115
The Journal of biological chemistry 2019 Jan 4;294(1):101-115
No comments: Submit comment
Supportive validation
- Submitted by
- ReliaTech GmbH (provider)
- Main image

- Experimental details
- Immunofluorescence staining of Megalin in the brush border of the proximal tubule [Cat# 101-M144].
- Sample type
- Tissue section
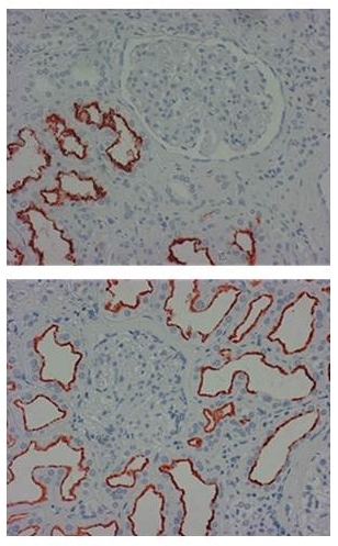
Supportive validation
- Submitted by
- ReliaTech GmbH (provider)
- Main image

- Experimental details
- Staining (paraffin-embedded tissue-sections fixed in formalin) of Megalin in the brush border of the proximal tubule [Cat# 101-M144].
- Sample type
- Tissue section