Antibody data
- Antibody Data
- Antigen structure
- References [3]
- Comments [0]
- Validations
- Immunohistochemistry [3]
Submit
Validation data
Reference
Comment
Report error
- Product number
- NBP1-85417 - Provider product page

- Provider
- Novus Biologicals
- Proper citation
- Novus Cat#NBP1-85417, RRID:AB_11039584
- Product name
- Rabbit Polyclonal ODF2 Antibody
- Antibody type
- Polyclonal
- Description
- Immunogen affinity purified. Specificity of human ODF2 antibody verified on a Protein Array containing target protein plus 383 other non-specific proteins.
- Reactivity
- Human
- Host
- Rabbit
- Isotype
- IgG
- Vial size
- 0.1 ml
- Storage
- Store at 4C short term. Aliquot and store at -20C long term. Avoid freeze-thaw cycles.
Submitted references Subunit composition of the human cytoplasmic dynein-2 complex.
A role for the Golgi matrix protein giantin in ciliogenesis through control of the localization of dynein-2.
Hook2 is involved in the morphogenesis of the primary cilium.
Asante D, Stevenson NL, Stephens DJ
Journal of cell science 2014 Nov 1;127(Pt 21):4774-87
Journal of cell science 2014 Nov 1;127(Pt 21):4774-87
A role for the Golgi matrix protein giantin in ciliogenesis through control of the localization of dynein-2.
Asante D, Maccarthy-Morrogh L, Townley AK, Weiss MA, Katayama K, Palmer KJ, Suzuki H, Westlake CJ, Stephens DJ
Journal of cell science 2013 Nov 15;126(Pt 22):5189-97
Journal of cell science 2013 Nov 15;126(Pt 22):5189-97
Hook2 is involved in the morphogenesis of the primary cilium.
Baron Gaillard CL, Pallesi-Pocachard E, Massey-Harroche D, Richard F, Arsanto JP, Chauvin JP, Lecine P, Krämer H, Borg JP, Le Bivic A
Molecular biology of the cell 2011 Dec;22(23):4549-62
Molecular biology of the cell 2011 Dec;22(23):4549-62
No comments: Submit comment
Supportive validation
- Submitted by
- Novus Biologicals (provider)
- Main image

- Experimental details
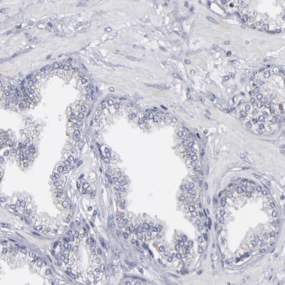
- Immunohistochemistry-Paraffin: ODF2 Antibody [NBP1-85417] - Staining of human prostate shows low expression as expected.
- Submitted by
- Novus Biologicals (provider)
- Main image

- Experimental details
- Immunohistochemistry-Paraffin: ODF2 Antibody [NBP1-85417] - Staining of human testis shows high expression.
- Submitted by
- Novus Biologicals (provider)
- Main image

- Experimental details
- Immunohistochemistry-Paraffin: ODF2 Antibody [NBP1-85417] - Staining in human testis and prostate tissues using anti-ODF2 antibody. Corresponding ODF2 RNA-seq data are presented for the same tissues.