Antibody data
- Antibody Data
- Antigen structure
- References [1]
- Comments [0]
- Validations
- Immunohistochemistry [1]
Submit
Validation data
Reference
Comment
Report error
- Product number
- sc-25848 - Provider product page

- Provider
- Santa Cruz Biotechnology
- Proper citation
- Santa Cruz Biotechnology Cat#sc-25848, RRID:AB_2119229
- Product name
- Anti-HSPG2
- Antibody type
- Polyclonal
- Antigen
- Recombinant full-length protein
- Reactivity
- Human
- Host
- Rabbit
Submitted references Enhanced detection method for corneal protein identification using shotgun proteomics.
Meade ML, Shiyanov P, Schlager JJ
Proteome science 2009 Jun 29;7:23
Proteome science 2009 Jun 29;7:23
No comments: Submit comment
Supportive validation
- Submitted by
- per
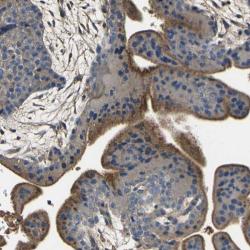
- Main image

- Experimental details
- Immunohistochemical staining of human placenta shows moderate cytoplasmic positivity in trophoblastic cells.
- Validation comment
- Staining pattern partly consistent with experimental and/or bioinformatic data.