Antibody data
- Antibody Data
- Antigen structure
- References [0]
- Comments [0]
- Validations
- Immunohistochemistry [1]
Submit
Validation data
Reference
Comment
Report error
- Product number
- 600-401-424 - Provider product page

- Provider
- Rockland Immunochemicals, Inc.
- Proper citation
- Rockland Cat#600-401-424, RRID:AB_2115335
- Product name
- Anti-GSK3 beta pS9 (RABBIT) Antibody - 600-401-424
- Antibody type
- Polyclonal
- Vial size
- 100 µl
No comments: Submit comment
Supportive validation
- Submitted by
- Rockland Immunochemicals, Inc. (provider)
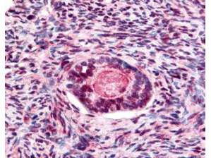
- Main image

- Experimental details
- Rabbit anti-GSK3B pS9 was used at a 1:200 dilution to detect GSK3B by immunohistochemistry in human ovarian cancer tumor tissue. Tissue was formalin-fixed and paraffin embedded. Personal Communication, Alan Yen, LifeSpanBiosciences, Seattle, WA.
- Validation comment
- Immunohistochemistry